
Mac-Mac* wakes up at 4:30am, stirred by loud shouts and bangs from outside. He crawls off his mattress, on which he sleeps with the rest of his family, and his tiny frame stumbles the two meters to the opening in their tiny shack that is their home. He emerges from the door frame, the only entrance to the single room that houses all six of his family. The outline of his ribs are visible on his chest, and dirt is still smeared across his face. It’s been about 5 days since his last shower, mostly because the family don’t have their own toilet facilities, but also because no-one’s keeping track of it.
His parents are still asleep, curled up together with his siblings to try and squeeze between the thin, wooden walls. He wanders outside and sees some older boys fighting with each other along the streets. He doesn’t know why, rarely do people see why, but he runs up to watch.
Eventually the teenagers are dragged away, still shouting and swearing at each other, and Mac-Mac remembers that he’s hungry. He wanders the street looking for something to eat. He sees a familiar face and asks for some crumbs of the bread he’s eating. He’s shooed away with an angry look. He wanders up to another familiar face just meters away. He asks for five pesos and is shouted at in return. The next person swears at the boy, calls him names and pushes him away.
And so it is for the next few hours. If Mac-Mac isn’t just ignored, he faces negative experience after negative experience.
Eventually his parents wake up and they’re straight to work. It’s 6:30am and they start their 12 hour shift mending vehicles and selling fried food along the street. Mac-Mac wants some attention and goes near his mother but she is weary and tired from the past week’s work, and the week before, and the week before that. She grunts at the boy and carries on about her way. If she doesn’t work straight away, she thinks, the family won’t have anything to eat for dinner.
Mac-Mac wanders around for a few more hours until eventually someone gives him food just to get rid of him. He tries to join in playing with some of the other kids around. But eventually, weak from hunger and easily angered from low blood sugar, he can’t control his temper and the game turns into a fight. This cycle is repeated for lunch, and later for dinner, and indeed for the first 6 years of his life.
The neglect, trauma, and abuse he suffers on a routine basis will, one day, essentially kill him. Not today, and not tomorrow. But the trauma and neglect throughout Mac-Mac’s childhood will mean that if the average life expectancy in the Philippines is 68 years, Mac-Mac can expect to live to around 48.
*Mac-Mac’s real name has been changed for child protection concerns
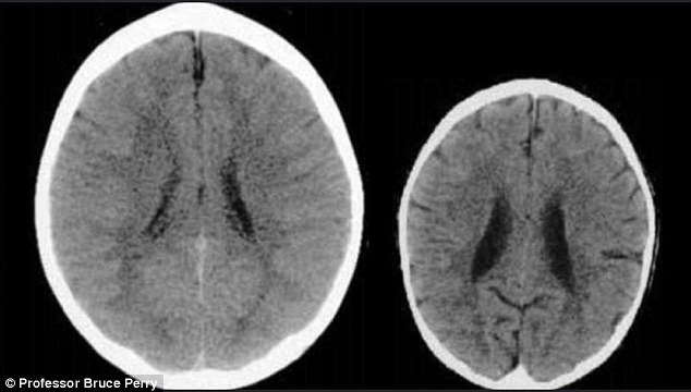
For a visual look of what this does, the picture below is from a study by Professor Bruce Perry showing the brain of a normal, healthy five year old on the left, and an extremely neglected child, such as Mac-Mac, on the right. It’s important to emphasise that these pictures are of two children of the same age.

Why Is Childhood Trauma the Single, Biggest Health Problem?
In the previous Fairplay highlights we introduced you to a study by Dr. Fellitti about Adverse Childhood Experiences (ACEs). High scores in childhood trauma (4 or more of the 10 categories) predicted:
- 3x greater risk of heart disease, diabetes, cancers
- 4x greater risk of depression
- 16x greater risk of attempted suicide.
All in all, the systematic and toxic negativity that neglect and abuse shoulders on a child will kill them. If a person had scored 6 or more of the 10 categories of childhood trauma, they lived 20 years less on average than someone with an ACE score of 0.
When we read this material at Fairplay we were surprised and motivated. Every day we see the effects of childhood trauma and the difference between kids when they first come to us and when they have been with us for a year or more. We were not surprised that childhood trauma could have such an impact, having seen it first hand for years. We were surprised, though, that it could be so clearly measured and demonstrated.
And so we performed our own study, and asked the ACEs questionnaire to all our full-time students. Here are the results:

In Felitti’s original study, just over 1 in 20 scored 4 or more on the ACEs test. UP Manila did a study in Quezon City and found 1 in 11 (9%) were at risk. Of our students, 79% scored four or more while 52.6% scored 6 or more.
Everything is stacked against these children. And in the slums the prevalence of childhood trauma is so much higher. Our sample was small, but we’re planning on a larger survey of the Payatas community, because it means where you’re born determines everything about your future. By the time you reach 5 years old you really have no chance. And we believe that’s just not fair.
‘There but for the grace of God, go I.’
The Golden Ratio: the Losada Line
Another study offers us some understanding of why this is the problem and what we can do about it. The Losada line is named after Dr. Marcial Losada who studied team performance and found that high performing teams, among other things, needed a ratio of positive to negative feedback of 3:1 in order to perform well. In other words, each negative experience, each negative feedback, would only be balanced and allow high performance if three positive experiences were found. That means for every three negative experiences, nine positive ones would be needed, for every 10 negative experiences, 30 positive ones would be needed, and so on.
While the study isn’t within slums itself, of course, we can take some of the spirit of the study and understand why the slums routinely are a place of toxic negativity. Children like Mac-Mac aren’t experiencing anything close to this ratio. For them, it’s backwards. Every positive experience they have is outweighed not by one negative experience, but by three or more negative experiences. Being shouted at, insulted, demeaned, humiliated. The child is overwhelmed by frustration, anger, annoyance, negativity… in short, the child has no chance. Anyone born in that child’s place, would have no chance.
So what can we do?
It’s easy to blame the parents. They should be more loving and caring. They should think of their child first. They shouldn’t have so many children if they can’t care for them all.
As we’ve discussed in previous posts, though, parents not only went through the same childhood trauma and are dealing (often) with multiple cases of PTSD themselves, but the only chance of a future for them is by having more kids. That doesn’t excuse any type of abuse, of course, but the first step of solving any problem is to understand it, to empathise with the people.
So what can we do? Well it starts with safe spaces. In the slums, there are so few. The kids can’t run around and release their energy in many places. Our sports center creates that opportunity. In so few places is there a place they can learn without feeling anxious or scared. In the local schools, more than half of the students drop out because of mixture of financial problems and trauma from teachers (corporal punishment is extremely common). The Fairplay School is a safe space where a child has positive feedback not because they did well on a test, but because they are valued in and of themselves.
So our next step is to open part of the School as a Pre-School. The younger ones, like Mac-Mac, need a safe space to go. They need a teacher to develop activities and a schedule; a time for hygiene, a time to play, and a time to get ready to learn. To that end, we’re looking to fundraise for two teachers, one new and one existing, for 2018 in order to set that up. To be part of this, to run a race, do a cake sale, or something completely new, you can check this link and do your own thing:
https://www.justgiving.com/fundraising/safespaceforpre-schoolinpayatas
If you live in the Philippines and would like to give, please contact us so you can give directly to our bank account and avoid any charges. If you’re in the UK and would like to give on a regular basis (direct debit/standing order), please do contact us. And if you’d like to do a fundraising event yourself, again let us know and we’ll see how we can help.
The (Anecdotal) Evidence So Far
So far, the relatively anecdotal evidence is looking good. At the Fairplay School, our older class improved on their Functional Literacy Test scores (the tool for the Alternative Learning System) by 15% on average. This is about the equivalent of a full school grade. We’re also looking forward to the tests at the end of the year which will show their progress in emotional intelligence, growth mindset, grit, and similar tools.
In our social business, too, the Fairplay Café is making remarkable progress. In the previous week, at the time of writing, the Café sold P8,533 of food in the local community. They averaged P1,422 per day. This is compared with P628 per day in Quarter 3 (July, August, September). This is in addition to catering every day for our students at the Fairplay School, the 42 we sponsor in public schools, our 20 strong staff, and after catering for 425 people in a football tournament two weekends before.
The most important improvement in the Café? A happier working environment. The local mothers have gradually become closer and more supportive, with a touch of healthy competition (morning versus afternoon sales), and so help each other grow and develop. The kitchen is a happy place to be, and that support now hits the Losada line.
Nothing we do is perfect, of course. We keep learning and we keep growing. But starting with creating safe and happier spaces mean our school, social business, and sports can become empowering. They can build up self-esteem and dignity, and gradually begin to treat the issues of childhood trauma.
If you want to be part of this, if you want to be part of leveling the playing field, then let us know 🙂